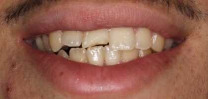
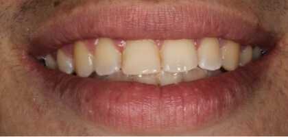
Con esta especialidad no solo solventamos problemas relacionados con la salud bucal, además, nos centramos en la belleza de tu sonrisa en su totalidad, incluyendo tejidos blandos. Conseguimos mejorar tu estética con resultados armónicos y naturales.
Te ofrecemos distintas opciones para mejorar tu sonrisa
Aclara el tono de tu sonrisa para deslumbrar con ella.
seleccionarMejora la disposición o forma de tus dientes rápidamente con finas laminas adheridas a ellos.
seleccionarPara reducir la presencia de demasiada encía en tu sonrisa o mejorar su forma.
seleccionarConsigue una sonrisa mucho mas armónica alineando tus dientes, de la mejor forma posible.
seleccionarAsesoramiento con la Dra. Cristina Sánchez Salado
Solicita una cita directa con la Dra. Cristina Sánchez Salado, para recibir asesoramiento profesional y conseguir la sonrisa que tienes en mente.
Solicitar cita

¿Qué ganarás mejorando tu estética dental?