Déjanos demostrarte que somos la mejor opción para alinear tus dientes en Cádiz. Puedes contáctarnos y te lo explicamos todo personalmente
Dra. Cristina Sánchez Salado
Con un 20% de descuento
Déjanos demostrarte que somos la mejor opción para alinear tus dientes en Cádiz. Puedes contáctarnos y te lo explicamos todo personalmente
Nuestros tratamientos son COMPLETOS, asegurándote el mejor resultado posible. Con nosotros no sonreirás a medias
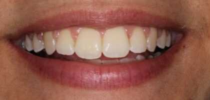
Te aseguramos que tu tratamiento es COMPLETO, será más que alinear los dientes visibles. Que los dientes encajen correctamente tiene más ventajas de las que imaginas, como evitar desgastes, asimetrías, dolores mandibulares o la enfermedad periodontal... además de mejorar tu rutina alimenticia, facilitar la limpieza y aumentar tu confianza.
La Dra. también esta especializada en estética dental, garantizándote un resultado mas armonioso. Adiós complejos, es el tratamiento con el resultado más notable y natural que puedes hacerte, corregirás tus desviaciones de posición y disposición dental... lo que te hará no querer parar de lucir esa sonrisa perfecta.
Te aseguramos que es la mejor opción y no tenemos problemas en demostrártelo, queremos ahorrarte perder mucho tiempo comparando y evitarte sorpresas inesperadas.
Ejemplo de tratamiento complejo de 12 meses: 2257€


Ejemplo de tratamiento sencillo de 8 meses: 1583€





Con nuestra dueña y fundadora, la Dra. Cristina Sánchez Salado estarás en las mejores manos. pertenece a la SEDO (Sociedad Española de Ortodoncia), además de formarse con la propia marca de ortodoncia Spark, considerada la mejor actualmente, especialmente seleccionada por ella para que tengáis la mejor opción del mercado.Revisa protocolos, tecnologías y adapta cada paso de forma personalizada, garantizándote un tratamiento más cómodo y eficaz, en el menor tiempo posible. Además, como experta en estética dental, te asesorará para conseguir el resultado más armonioso y natural.





Nuestra ortodoncia te proporciona muchas ventajas frente a las demás, garantizándote la mayor eficacia posible en tu tratamiento y una calidad superior en los materiales empleados.

En tu primera visita con la doctora te indicará el coste total de tu tratamiento porque trabajamos con nuestros propios precios cerrados, desde el principio te decimos cuánto te costará tu tratamiento, sin sorpresas y sin costes extras, ¡Te vamos a dar un precio fijo y un paquete completo de tratamiento en el que puedes confiar totalmente!



Gracias a nuestra tecnología y procesos, conseguimos los mejores resultados en el menor tiempo posible.
Todo lo necesario para tu tratamiento personalizado incluido y bien planificado. Te escaneamos en 3D sin moldes, verás la simulación de tu sonrisa final, su proceso e intervenciones.
Nuestra doctora y fundadora Cristina Sánchez Salado es ortodoncista especializada en estética dental, te asegura el mejor resultado posible desde la técnica hasta la estética.
Contamos con financiación a medida. Somos muy cercanos, entendemos cualquier situación y nos adaptamos a ti todo lo que podemos. Somos de aquí y de siempre, te aconsejamos solo lo que te conviene, como un amigo.
Para facilitarte tus citas.
Solo para adultos.
EXCELENTE A base de 20 reseñas Publicado en Ana MartinezTrustindex verifica que la fuente original de la reseña sea Google. Encantada con el trato al paciente por parte de todas las chicas, en especial Lucia que es quien nos trató a mi y a mi pareja. Súper agusto con su trabajo, por supuesto recomendadisima esta clinica, ya mis familiares han pedido cita. Nos vemos pronto seguro!Publicado en Javier DomínguezTrustindex verifica que la fuente original de la reseña sea Google. Mi experiencia con esta clínica del 1 al 10 le doy un 11, por atención , profesionalidad y sobre todo me hicieron sentirme como en mi propia casa , le doy gracias por ayudarme ya que venía de otra clínica con una pésima profesionalidad,la recomiendo 100%Publicado en Cristina SánchezTrustindex verifica que la fuente original de la reseña sea Google. Super contenta con mi sonrisa tras la limpieza y el blanqueamiento dental. Hemos ido toda la familia y todos muy satisfechos con la higiene, el trato y la profesionalidad.Publicado en FRANCISCO VÁZQUEZ PARENTETrustindex verifica que la fuente original de la reseña sea Google. Un trato excelente y muy atentos por cualquier problema que pueda surgir. Mi mujer y yo una experiencia de 10 y los peques encantados y con el trato se portaron estupendamente y muy contentos.Publicado en carlos gTrustindex verifica que la fuente original de la reseña sea Google. Trato del personal de 10!!! La atención de la dentista, super bien, siempre me dio miedo el dentista pero con su trato tan bueno ya no le tengo miedo, rapidez en las citas y buenos precios, mi dentista de confianzaPublicado en Gloria CaletaTrustindex verifica que la fuente original de la reseña sea Google. Estoy muy contenta con mis resultados, aunque a nadie le gusta ir al dentista, las chicas son muy amables y profesionalesPublicado en Eduardo MontillaTrustindex verifica que la fuente original de la reseña sea Google. Clínica y personal totalmente recomendables, están al día en las ultimas novedades y técnicas del momento. El trato profesional y humano es muy cercano tanto por la Dra. Cristina Sánchez Salado como por todo su equipo.
Estamos Frente al antiguo McDonald's