Con esta rama odontológica te prevenimos, diagnosticamos y tratamos los problemas más comunes que aparecen en el día a día. Como dolor de dientes, sensibilidad dental, caries, sangrado de encías, pérdida de hueso…Casi toda la población ha sufrido alguna de estas patologías. Aquí te ayudaremos a saber si es lo que necesitas.
Los servicios más demandados actualmente


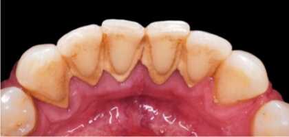
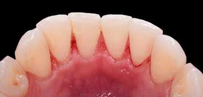
Mantenemos tu la salud bucodental al día, previniendo la aparición de enfermedades. Eliminaremos el sarro que se acumula en las encías o el cuello de nuestros dientes y las manchas, realzando la estética general con una sonrisa limpia, sana y agradable.
Eliminamos las caries y te devolvemos la funcionalidad de la pieza dental antes enferma. No olvides revisar las promociones online ¡tenemos una para ti!
Tras una revisión o limpieza, a veces, es necesario extraer un diente de la encía. Este procedimiento lo llevaremos a cabo cuando un diente no se pueda recuperar. En esta categoría (odontología general) hablamos de extracciones simples, aquellas que implican el retiro de dientes que son visibles en la boca, los cuales, con los instrumentos necesarios y sin necesidad de realizar ningún tipo de cirugía, es posible realizar la extracción.

Debes acudir de inmediato si:
Lo mas recomendable es que agendes una cita, en nuestra web intentamos que os podáis hacer una idea, nos gusta ser transparentes y que entendáis lo que hacemos... pero la mejor valoración solo os la podemos ofrecer en persona.
Puedes enviarnos los documentos, imágenes o lo que necesites a nuestro correo facilitado en el apartado de contacto. Tambien puedes comentarnos por whatsapp lo que necesites, pero es posible que necesitemos valorarlo en persona si no aportas datos específicos o si lo necesitamos para ayudarte correctamente.
Examen riguroso de cada paciente, incluyendo exploración dental, exploración de las encías y las pruebas pertinentes.
Contamos con la mejor tecnología de diagnostico, como el escáner intraoral 3D, con el que analizamos tu salud bucodental de forma mas cómoda, rápida y efectiva, además de indolora.
Si la cosa se complica, valoraras mucho que te contemos con especialidad correcta para tratarte, garantizando tanto el mejor diagnostico... como resultado.
Somos de aquí y de siempre... las urgencias dentales no esperan y sabemos como es Cádiz, por eso te regalamos una 1h de parking para ponértelo fácil.
Te animamos a cuidarte con promociones, sorteos en redes y otras sorpresas. Échales un ojo abajo.