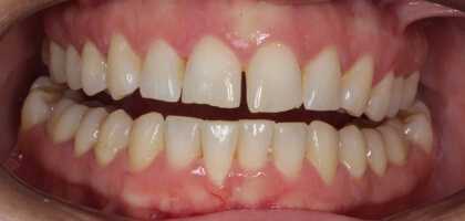
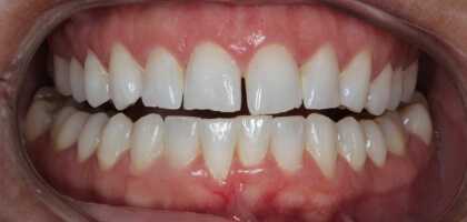
Te aclaramos varios tonos del diente, destacaremos tu sonrisa de forma rápida y con resultado natural. En Clínica Salado Dental contamos con varios tipos de blanqueamientos, los mejores tratamientos complementarios, como pulido de manchas y la mejor tecnología en manos de expertos. Te asesoraremos para conseguir lo que buscas y obtener los mejores resultados.
Ganarás una buena dosis de confianza, la que necesitas para lucir aún más tu sonrisa. Tus dientes destacarán con mucha más limpieza, belleza y cuidado.
Contamos con la mejor tecnología bajo el asesoramiento de nuestra Dra. fundadora Cristina Sánchez Salado, la combinación perfecta para ayudarte a deslumbrar desde la primera sesión.
A diferencia de otros procesos, no daña el esmalte, incluso tenderás a mejorar tu higiene bucal para cuidar esos dientes más blancos que tanto deseabas. Recuerda que ningún blanqueamiento sin profesionales especializados es del todo seguro.


Ideal para ti si:
Para ello es importante que tengas una cita para examinarte y ver hasta que tono quieres llegar.
El blanqueamiento dental puede realizarse tanto en la consulta como en el propio domicilio, siempre siguiendo las pautas recomendadas. Ambos tipos de blanqueamiento dental pueden combinarse, para conseguir así el resultado deseado de manera más rápida.
Por regla general, un blanqueamiento realizado correctamente y con unos hábitos de higiene adecuados suele durar en torno a dos años, y una de sus grandes ventajas es que el tratamiento puede repetirse tantas veces como haga falta.
Casi cualquier persona puede realizarse un blanqueamiento dental logrando excelentes resultados. Responden bien casi todos los dientes, a excepción de aquellos con manchas formada por el antibiótico “tetraciclinas”, que suelen ser marrones o grisáceas y requieren otras técnicas de blanqueamiento.
Somos de aquí y de siempre, nuestra doctora y fundadora Cristina Sánchez Salado vela por sus pacientes como su propia familia... Te aconsejará para conseguir el mejor resultado posible.
Te haremos las sesiones que necesites, llegaremos al tono que elegiste durante el asesoramiento estético con la Dra. Cristina Sánchez Salado.
Contamos con la mejor tecnología y procesos, abarcando incluso las manchas mas complejas hasta unificar el tono.
¡Te lo preparamos para llevar! ya sea por comodidad o refuerzo, tendrás materiales profesionales a tu disposición. Te lo explicaremos todo, es muy sencillo.