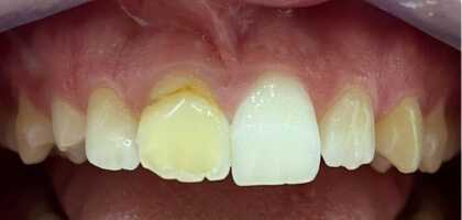
Colocaremos finas láminas sobre tu diente natural, sin dañarlo y del material más adecuado. Conseguirás mayor armonía y estética en tu sonrisa, corrigiendo la forma, proporción y color de las piezas dentales que necesites.
Con esta técnica puedes variar incluso la forma y proporción de tus dientes, consiguiendo la sonrisa realmente deseas. Ya sea en una o varias piezas dentales... ganarás la confianza que necesitas para lucir aún más tu sonrisa.
Se puede decir que de un día de para otro... ¡tienes una nueva sonrisa! Y no solo consigues el resultado rápido, pueden durarte hasta 15 años si las cuidas correctamente. Su sustitución igual de rápida, también es otra gran ventaja.
Es un proceso mínimamente invasivo, que no supone ninguna agresión para el diente aunque sus resultados sean visibles de inmediato. La colocación de estas finas laminas es rápida, sencilla y completamente indolora, además, debajo de la carilla se mantiene la pieza dental sin alteración.


Ideal para ti si:
Esta es una de las cuestiones que más preocupan a los pacientes. En ningún caso, de hecho, ni siquiera requiere de anestesia local, apenas sentirás molestias.
Si. La Dra. Cristina Sánchez Salado está especializada en estética dental, te asesorará para elegir lo que más te convenga, según el resultado que busques y tu presupuesto, pero siempre buscando el mejor resultado posible.
Las de porcelana no, en las de composite se evita con cuidados mínimos, dependerá del material que elijas. Según el resultado que busques, tus necesidades y presupuesto te recomendaremos las mejores para ti.
Nuestra Dra. fundadora está especializada en estética dental, su experiencia y profesionalidad te garantizan estar en buenas manos.
Nos esforzamos en crear un diseño perfecto para ti, garantizándote el mejor resultado posible. La Dra. coordina sinérgicamente opciones de mejora futuras, ya que siempre estará a tu lado.
Te informaremos de cada material, proceso involucrado y las distintas posibilidades. Además de acompañarte y asesorarte de principio a fin.
Contamos con financiación a medida y somos muy cercanos, entendemos cualquier situación y nos adaptaremos a ti todo lo que podamos.