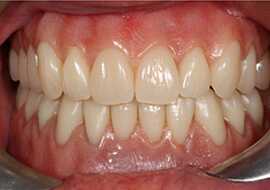
Reemplazan la raíz de un diente ausente, es la fijación sobre la cual colocamos una corona o prótesis que reemplazará la copia de su diente natural, como parte visible del diente. En Clínica Salado Dental te ofrecemos planificación, colocación y mantenimiento de los implantes dentales que necesites. Es la primero a tratar para reponer una o varias piezas dentales, ya que es ¨la base¨ donde ira la parte visible y funcional.
Junto a tu prótesis dental
La preocupación constante, limitaciones, complejos o incluso dolor que genera una perdida dental completa... es algo que empeora tu en tu día a día, y no suele ir a mejor por esperar. Aquí te lo ponemos muy fácil para recuperar la sonrisa y tu ritmo de vida.
No solo te devolveremos las ganas de sonreír con un mejor aspecto, optar por los implantes, evita daños mayores como la pérdida de hueso o daños en los dientes adyacentes y su movilidad.
No jugamos con tu salud, te ayudamos a tomar la mejor decisión
Aseguramos que tus condiciones de salud oral son favorables antes de realizar la intervención para evitar complicaciones. Y después, nos interesamos por ti, ofreciéndote un verdadero servicio completo, de principio a fin.
Estarás al tanto de cada detalle involucrado en el proceso, al igual que nosotros estaremos atentos a cada detalle que necesite tu caso, garantizándote un trato personalizado y una experiencia de confianza plena.
Contamos con facilidades de pago y somos muy cercanos, entendemos cualquier situación, aconsejándote siempre lo que verdaderamente te conviene, como un amigo.


Aconsejables cuando:
La colocación del implante se hará con nuestro especialista implantólogo, el Dr. Alvaro Orcajada Zamora. Luego, la doctora y fundadora Cristina Sánchez Salado se encargará de la parte visible o la pieza que simula nuestros dientes, realizando el diseño perfecto para tu nueva sonrisa con la especialidad en estética dental y diseño de sonrisas. Visita el apartado de prótesis para saber más información de este aspecto
No te preocupes, ven y te explicaremos las mejores opciones para ti, tu decides sin compromiso. Gracias a nuestro sinérgico equipo de varias especialidades, te ayudamos a encontrar la mejor solución para ti, en todos los aspectos.
Si, nos aseguramos de que tu estado bucodental sea el adecuado antes, durante y después de la intervención... para esto es necesario brindaros un servicio personalizado según el caso, lo cual garantiza que no habrá sorpresas.
Facilitamos a nuestros pacientes tratamientos sin dolor gracias a la anestesia consciente y un acompañamiento cercano... que os garantizan una experiencia tranquila, con plena confianza.